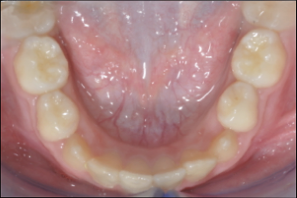
Morso inverso anteriore
Il morso inverso o morso crociato anteriore rappresenta una condizione in cui i denti superiori chiudono all’ interno dei denti inferiori (al contrario di come dovrebbe essere) ed è spesso sintomo di un problema scheletrico più importante chiamato malocclusione di III Classe. Questa caratteristica scheletrica, spesso ereditaria, richiede un trattamento precoce per il suo miglioramento. Pertanto i piccoli pazienti vanno visitati fin da subito senza aspettare il cambio dei dentini da latte, per assicurare un trattamento efficace e tempestivo. Diverse sono le apparecchiature che si possono utilizzare per ogni caso specifico, da quelle rimovibili a quelle fisse, e questo tipo di problema richiede spesso trattamenti in più fasi da rivalutare nel tempo durante la crescita.
PRIMA
DOPO
Apparecchiatura linguale
La tecnica di apparecchiatura linguale permette di allineare i denti con un apparecchio dal lato INTERNO dei denti, quindi COMPLETAMENTE INVISIBILE. L’ apparecchio è fisso e viene attivato da me durante le visite periodiche. Può essere applicato sia all’ arcata superiore sia a quella inferiore e può prevedere l’ utilizzo di attacchi LINGUALI oppure la tecnica senza attacchi o bracketless.
PRIMA
DOPO
Ortodonzia linguale invisibile senza attacchi
Denti inclusi
A volte capita che dei denti permanenti non riescano ad erompere da soli. Spesso questo problema riguarda i canini permanenti (che erompono attorno ai 10-13 anni), ma può riguardare anche altri denti per varie problematiche (incisivi) per esempio legate a traumi che il paziente ha avuto in età molto precoce quando aveva ancora solo i denti da latte. In questi casi è importante una diagnosi precoce per poter pianificare una corretta terapia con buone possibilità di riuscita. Spesso sono necessari apparecchi ortodontici per poter aiutare questi denti a ritrovare la loro strada. Avere tutti i denti in arcata nella loro corretta posizione è fondamentale per il corretto sviluppo e la corretta fonazione della bocca.


























